- Podkłady Medyczne, Materiały Higieniczne
- Papiery USG, Aparatura Medyczna
- Żele, Pasty, Elektrody, Pasy
- Lampy medyczne
- Rękawiczki Jednorazowe Medyczne
- Odzież Ochronna
- Akcesoria Medyczne Dla Specjalizacji
- Ginekologia i położnictwo
- wzierniki ginekologiczne
- szczoteczki cytologiczne, wymazówki bakteriologiczne, pudełka transportowe
- pessary
- szkiełka cytologiczne, utrwalacze
- osłonki na głowice USG
- histopatologia
- narzędzia jednorazowe ginekologiczne
- wkładki antykoncepcyjne-wewnątrzmaciczne
- zestawy do zakładania wkładek
- kolposkopia
- specjalistyczny sprzęt ginekologiczny
- detektory tętna płodu
- Igły do biopsji
- Kosmetologia, beauty
- Laryngologia
- Kardiologia
- Stomatologia
- Laboratorium
- Okulistyka
- Rehabilitacja, fizjoterapia
- Weterynaria
- pozostałe akcesoria
- Ginekologia i położnictwo
- Sprzęt Ogólnomedyczny
- pojemniki na odpady
- worki na odpady
- igły, strzykawki, venflony
- cewniki, worki na mocz, zestawy
- dozowniki, podajniki
- Suszarki do rąk
- zestawy transportowe
- Apteczki, wyposażenie apteczek, torby medyczne
- Defibrylatory, systemy montażowe, oznakowania, kapsuły
- Ciśnieniomierze
- Termometry
- Systemy infuzyjne i akcesoria
- Inhalatory
- Stetoskopy
- Latarki
- Audiometry
- Otoskopy
- Pulsoksymetry
- Wagi medyczne
- Podoskopy
- naklejki podłogowe, ścienne
- oczyszczacze powietrza
- Alkomaty
- Spirometry
- Holtery
- Produkty szkoleniowe i edukacyjne
- pozostałe
- Pościel medyczna
- Sprzęt i akcesoria stomijne
- Dermatoskopy
- Materiały Opatrunkowe
- Dezynfekcja, Mycie, Pielęgnacja
- Materiały Szewne
- Materiały Zabiegowe
- Sterylizacja
- Narzędzia Chirurgiczne
- Dieta
- Produkty Kontrolne (Laboratorium), testy, odczynniki
- Druki
- Materiały Biurowe
- artykuły do pisania
- dziurkacze, zszywacze, rozszywacze
- gumki recepturki, spinacze, pinezki, klipy, zwilżacze
- kalendarze
- koperty
- nośniki danych i urządzenia
- taśmy klejące, kleje
- papiery biurowe, specjalistyczne, kalki
- rolki termiczne, offsetowe, samokopiujące
- segregatory, teczki, przekładki i akcesoria
- skoroszyty, koszulki na dokumenty
- zeszyty
- Meble, Akcesoria Medyczne
- Stoły stacjonarne
- Łóżka szpitalne
- Kozetki i leżanki
- Fotele medyczne
- Akcesoria do stołów, leżanek i kozetek
- Stopnie metalowe i drewniane
- Stoły weterynaryjne
- Stoliki do badania niemowląt
- Stoliki zabiegowe, medyczne i pod aparaturę
- Wózki do transportu chorych
- Parawany oraz ekrany
- Taborety i fotele lekarskie
- Szafy, szafki, regały, asystory
- Stoły rehabilitacyjne
- Stoły i krzesła do masażu
- Stojaki na kroplówki
- Wózki wielofunkcyjne
- Wózki do brudnej bielizny
- Kosze na śmieci
- Kosze zewnętrzne do segregowania i stojaki na odpady
- UGUL, PUR i osprzęt
- Rehabilitacja - sprzęt
- Materace, kształtki rehabilitacyjne i siedziska
- Wózki inwalidzkie
- Wagi medyczne
- Biurka lekarskie
- Fototerapia
- Akcesoria łazienkowe
- Lodówki, chłodziarki i zamrażarki
- Wieszak na kroplówki
- Stojaki pod aparaturę medyczną
- Kosmetyki i produkty zapachowe
- Dystrybutory wody
- Produkty naturalnego pochodzenia
- Higiena pacjenta
- Meble Szkolne, Przedszkolne, Świetlicowe
Idiopatyczne włóknienie płuc
Weryfikacja dostępu do sklepu AdMed
Strona sklepu AdMed Medical Partner s.c. zawiera wyroby medyczne przeznaczone wyłącznie dla profesjonalistów z branży medycznej lub farmaceutycznej.
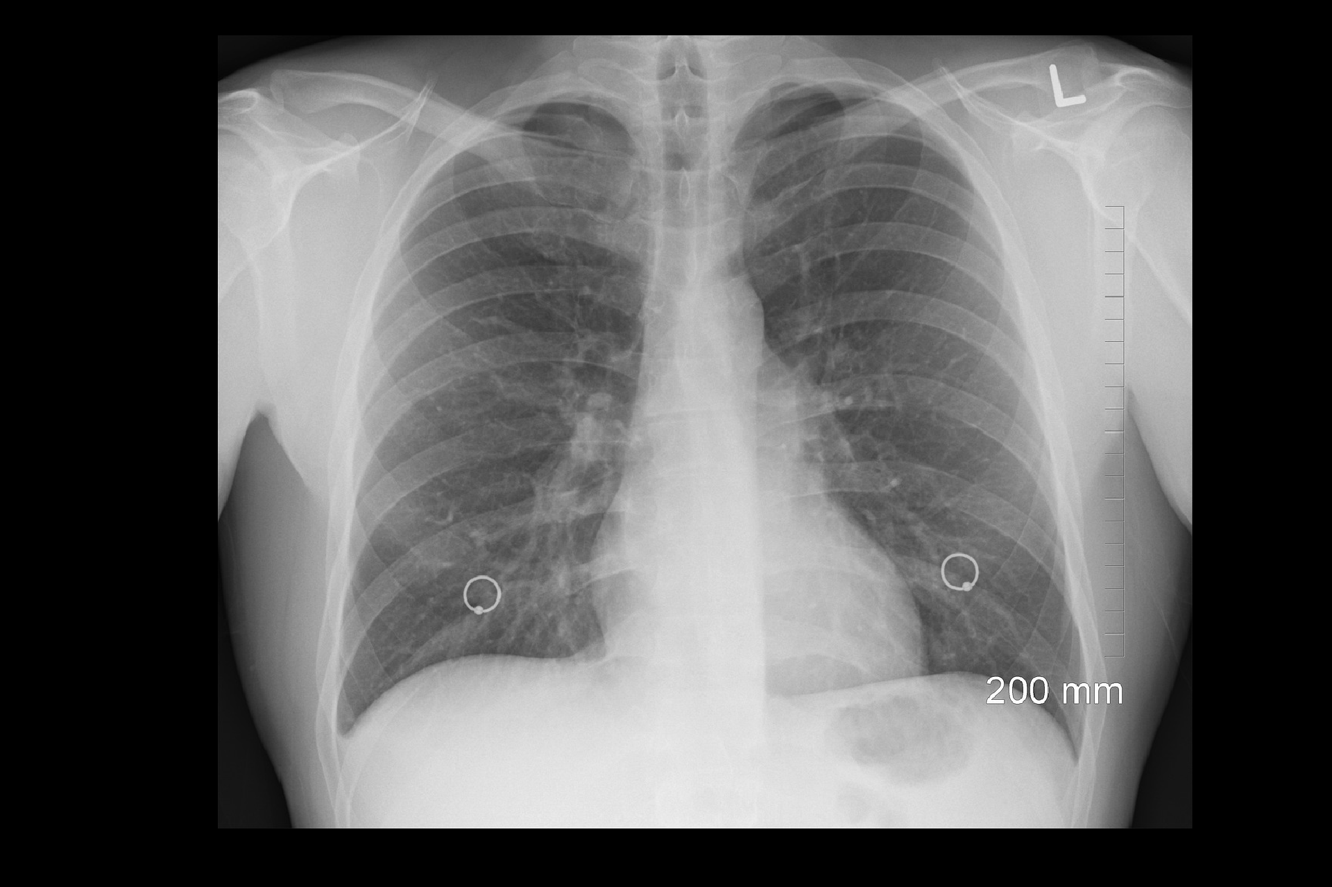
Idiopatyczne włóknienie płuc (IPF, idiopathic pulmonary fibrosis) to rzadka, przewlekła i postępująca choroba płuc, która prowadzi do stopniowego upośledzenia oddychania. Choć brzmi skomplikowanie, warto zrozumieć jej istotę – zwłaszcza że wczesna diagnoza i odpowiednie leczenie mogą realnie wpłynąć na jakość życia pacjenta.
Co to jest idiopatyczne włóknienie płuc?
IPF to choroba, w której dochodzi do nieodwracalnego bliznowacenia (włóknienia) tkanki płucnej. Słowo idiopatyczne oznacza, że przyczyna choroby nie jest znana. Z czasem zdrowa, elastyczna tkanka płuc zostaje zastąpiona sztywną tkanką włóknistą, co utrudnia przenikanie tlenu do krwi.
Kogo najczęściej dotyka IPF?
Idiopatyczne włóknienie płuc:
- występuje głównie u osób po 50. roku życia
- częściej dotyka mężczyzn
- częściej pojawia się u palaczy lub byłych palaczy
- może mieć związek z predyspozycjami genetycznymi
Objawy – na co zwrócić uwagę?
IPF rozwija się podstępnie, a pierwsze objawy bywają bagatelizowane. Najczęstsze z nich to:
- postępująca duszność, początkowo przy wysiłku, później także w spoczynku
- suchy, męczący kaszel
- przewlekłe zmęczenie
- spadek masy ciała
- palce pałeczkowate (pogrubienie opuszek palców)
Ponieważ objawy przypominają inne choroby płuc lub serca, diagnoza bywa opóźniona.
Jak wygląda diagnostyka?
Rozpoznanie IPF wymaga współpracy kilku specjalistów i obejmuje m.in.:
- dokładny wywiad lekarski
- tomografię komputerową wysokiej rozdzielczości (HRCT)
- badania czynnościowe płuc
- czasem biopsję płuca
Wczesne i prawidłowe rozpoznanie ma kluczowe znaczenie dla dalszego leczenia.
Leczenie – czy IPF da się wyleczyć?
Niestety, idiopatyczne włóknienie płuc jest chorobą nieuleczalną, ale współczesna medycyna oferuje terapie, które mogą:
- spowolnić postęp choroby
- zmniejszyć ryzyko zaostrzeń
- poprawić komfort życia
Stosuje się m.in. leki antyfibrotyczne, tlenoterapię, rehabilitację oddechową, a w wybranych przypadkach – przeszczep płuc.
Życie z IPF – wsparcie ma znaczenie
Diagnoza IPF to ogromne wyzwanie psychiczne i fizyczne. Dlatego tak ważne są:
- edukacja pacjenta i jego bliskich
- regularna opieka pulmonologiczna
- wsparcie psychologiczne
- grupy wsparcia dla chorych i rodzin
Zdrowy styl życia, unikanie infekcji oraz szczepienia ochronne również odgrywają istotną rolę.
Idiopatyczne włóknienie płuc to poważna choroba, która zmienia codzienne funkcjonowanie, ale nie odbiera prawa do godnego i świadomego życia. Postęp medycyny, coraz większa dostępność terapii i rosnąca świadomość choroby dają pacjentom realną nadzieję.
Jeśli zauważasz u siebie lub bliskich przewlekłą duszność i suchy kaszel – nie ignoruj tych objawów. Wczesna konsultacja lekarska może zrobić ogromną różnicę.
Najnowsze wpisy
- Infekcyjne zapalenie płuc
- Mechanizmy stresu i adaptacji
- Materiały jednorazowe dla przychodni – gdzie zamówić, aby nie zabrakło? Porównanie opcji online i stacjonarnie z szybką dostawą
- Rola gonad w dojrzewaniu płciowym
- Jak wygląda zamknięcie stomii metodą szwu kapciuchowego?
- Jak stres wpływa na jelita? O osi mózg–jelita
- Apteczka na wyjazd: Co musi się w niej znaleźć, by uniknąć wizyty w SOR?


Validate your login